Welcome to Columbus
Aesthetic & Family Dentistry
Serving the Community Since 1970
Columbus Aesthetic & Family Dentistry in Columbus, GA, was founded to meet the community's need for outstanding dental care with a personalized touch. Dr. Brett Helton is a dentist who provides a full range of cosmetic, restorative, and general dentistry for the entire family at our modern office. Each and every service is held to the highest standards to save you time and improve your comfort and health. We invite you to request an appointment and change the way you think about dental care.
Our Mission
It is our goal to offer the most advanced treatments utilizing the latest technology to care for our patient's oral health. We strive to provide a positive dental experience in a comfortable environment.
Columbus Family & Aesthetic Dentistry
Our Approach to Family Dentistry

We will make every effort to ensure your entire family is as comfortable as possible during every interaction with our staff. Good family dentistry is about more than convenience—it involves a gentle touch and understanding approach.
Our dentists treat pediatric patients and help them understand the importance of their oral health and adopting good dental hygiene habits. We take the time to address all the questions and concerns you may have about your children's dental care, and provide you with the patient education you need to maintain your family's oral health.
Compassionate Care
Tailored to Your Needs
Request an Appointment Today
Our dental practice strives to provide an outstanding personalized experience for each and every patient. At Columbus Aesthetic and Family Dentistry, we respect your unique needs, preferences, and goals. We also want you to feel at home at our office.
Complimentary bottled water, coffee, and TV are always available to our patients. Our practice welcomes you to discuss any questions or concerns you may have about your oral health and dental work. If you are feeling anxious, ask our dentists about sedation dentistry. We offer nitrous oxide sedation to improve your comfort so you can undergo the dental work you need. Request an appointment for the entire family at our Columbus, GA, dental office today.
(706) 563-3225

Meet Your Dentist Dr. Brett Helton


Dr. Brett Helton is a dentist who has been providing patients with the highest quality dental care since 2001. He earned his DDS from the School of Dentistry at the Medical College of Georgia, where he spent two years in the Senior Honors Program for general dentistry.
Dr. Helton is a member of several organizations committed to upholding the highest standards in the profession, including the Georgia Dental Association. To provide the best service and improved health for all of our patients, Dr. Helton attends regular training on advancements in the field and is dedicated to continuing education.
Popular Procedures
Cosmetic Dentistry
Cosmetic dentistry procedures can correct and conceal flaws in your smile like chips, cracks, discoloration, and more. We offer options like veneers, teeth whitening, and dental bonding. Our Columbus dentists can also combine procedures into one streamlined smile makeover plan that addresses all of your flaws at once.
Comprehensive Care Our Complete Services
Cosmetic Dentistry
Restorative Dentistry
See What We Can Do for You
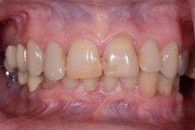
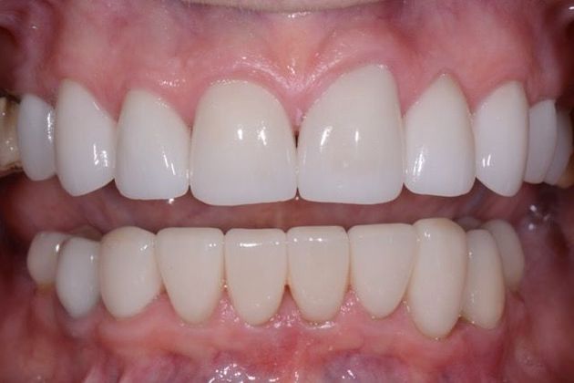
These photos show the results that Dr. Helton achieved for a patient of our Columbus, GA, practice using porcelain veneers:
A Beautiful Smile Can Be Life-Changing

Dental care is about more than just your health. The look of your smile has an important impact on how you feel and the impressions you make on those around you. Our dentists provide a wide range of simple and affordable cosmetic treatments to enhance your teeth and give you the confidence to show off your smile. Discover what these procedures can help you achieve:
| Popular Cosmetic Treatments | Surface Stains | Intrinsic Stains | Minor Misalignment | Cosmetic Damage | Structural Damage |
|---|---|---|---|---|---|
| Teeth Whitening | ✔ | ||||
| Dental Bonding | ✔ | ✔ | ✔ | ✔ | ✔ |
| Porcelain Veneers | ✔ | ✔ | ✔ | ✔ | |
| Dental Crowns | ✔ | ✔ | ✔ | ✔ | ✔ |
| Smile Makeover | ✔ | ✔ | ✔ | ✔ | ✔ |
Technology-Focused Treatment Experience Streamlined Dentistry
We understand you have a busy schedule, and we are committed to making dental work a fit for your life. Our advanced tools allow for more efficient care, accurate diagnoses, precise treatment, and smooth recoveries.
Our Columbus, GA, office is equipped with CEREC, a tool that makes it possible to treat a damaged tooth and restore it with a custom crown in just one office visit. CEREC uses CAD/CAM (computer-aided design and computer-aided manufacturing) technology to capture highly detailed digital impressions of your mouth and create precisely fitted restorations in a fraction of the time required when using traditional methods.

"Dr. Helton and his team are by far the best dental practice I have ever found. I almost look forward to my visits there. Outstanding in every respect and priced reasonably. I could not recommend them more highly." Edward Callaway







